1066

What is Rotablation Angioplasty

18 February, 2025

When your cardiologist says, your blood vessels in heart has hardened chalk material which is difficult to do angioplasty, check it out if this can be opened up by this drilling technique called Rotablation.

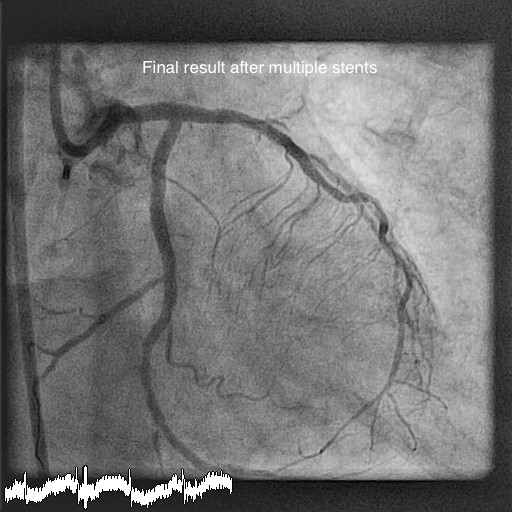
A 65 yr old gentleman with chest pain and severe breathlessness was admitted in his local hospital. He was not able to walk for more than 5 minutes. He was initially treated with medicine and then underwent a coronary angiogram in their hospital. His angiogram showed block in all 3 blood vessels in heart and his heart pumping was also weak on echocardiogram (echo scan). He was transferred to Apollo main hospital, Greams Road in Chennai for further treatment. His angiogram pictures were reviewed by the heart team (both cardiologist and cardiac surgeon included) and was considered to be high risk for open heart surgery (bypass surgery) because of the weak heart. Therefore it was decided to do a complex angioplasty called Rotablation to clear the hardened chalk material and then use stents (ring) to improve blood supply to the heart. However, considering his weak heart he also would need an artificial balloon in his major blood vessel (Intra-aortic balloon pump- IABP) to help support the heart during the procedure.

What is Rotational atherectomy

Rotablation (Rotational atherectomy) is a complex and the most challenging technique in coronary intervention used in patients with heavy calcification in coronary arteries (hardened arteries) to deliver stents in position to improve blood flow. It is essentially a drilling technique done with the help of special diamond tip burr, which rotates at a speed of 150,000 to 200,000 rotations per minute. This drilling technique clears the inside of the arteries to help pass the balloon and stent easily. The tubes or catheters used in this technique are bigger than the normal catheter. This technique is used carefully only by very well trained Interventional Cardiologist in special situations. Even though the procedure is slightly riskier, in trained hands the risks still remains low and in some situations, this is the only option available. This procedure is performed routinely in Apollo Hospital Chennai by Dr Refai Showkathali, Senior Consultant Interventional Cardiologist. Very few Cardiologists in South East Asia do this procedure routinely.

The patient underwent the procedure with Rotablation and stenting with the support of IABP and temporary pacemaker wire. Drilling was done successfully and 5 stents were used to clear the blockages in the coronary arteries starting from the main artery in the heart. The patient stayed in hospital for 48 hrs and then he was discharged home. He felt remarkably better after the procedure and in 1 month his heart function improved well. He was able to walk 45mins to 1 hour without any problem. He doesn’t have any more chest pain or breathlessness.

Book An Appointment

Meet Our Doctors

view more
Dr A Vishnu Prasanth
Dr A Vishnu Prasanth
Cardiology
9+ years experience
Apollo Speciality Hospitals, Teynampet
view more
Dr. S K Pal - Best Urologist
Dr Gaurav Khandelwal
Cardiology
9+ years experience
Apollo Sage Hospitals
view more
Dr Gobinda Prasad Nayak - Best Cardiologist
Dr Gobinda Prasad Nayak
Cardiac Sciences
9+ years experience
Apollo Hospitals, Bhubaneswar
view more
dr-chethan-bharadwaj-cardiologist-in-mysuru
Dr Chethan Bhardwaj
Cardiology
9+ years experience
Apollo BGS Hospitals, Mysore
view more
Dr. Kiran Teja Varigonda - Best Cardiologist
Dr Kiran Teja Varigonda
Cardiac Sciences
8+ years experience
Apollo Health City, Jubilee Hills
view more
Dr. Nirmal Kolte - Best Cardiologist
Dr Nirmal Kolte
Cardiology
8+ years experience
Apollo Hospitals, Nashik
view more
Dr Aravind Sampath - Best Cardiologist in Chennai
Dr S Aravind
Cardiology
8+ years experience
Apollo Speciality Hospitals, Vanagaram
view more
Dr. Byomakesh Dikshit - Best Cardiologist
Dr Byomakesh Dikshit
Cardiology
8+ years experience
Apollo Hospitals, Bhubaneswar
view more
karunakar rapolu
Dr Karunakar Rapolu
Cardiology
8+ years experience
Apollo Health City, Jubilee Hills
view more
Dr. Arif Wahab - Best Cardiologist
Dr Arif Wahab
Cardiology
8+ years experience
Apollo Hospitals, Delhi

Could not find what you are looking for? 

Request a Callback

Image
Image
Request A Call Back
Request Type
Image
Doctor
Book Appointment
Book Appt.
View Book Appointment
Image
Hospitals
Find Hospital
Hospitals
View Find Hospital
Image
health-checkup
Book Health Checkup
Health Checkup
View Book Health Checkup
Image
Doctor
Book Appointment
Book Appt.
View Book Appointment
Image
Hospitals
Find Hospital
Hospitals
View Find Hospital
Image
health-checkup
Book Health Checkup
Health Checkup
View Book Health Checkup