1066

Lymphocytic Colitis - Causes, Symptoms, Diagnosis, Treatment, and Prevention

Lymphocytic Colitis: A Comprehensive Guide

Introduction

Lymphocytic colitis is a type of inflammatory bowel disease (IBD) characterized by chronic diarrhea and inflammation of the colon. It is a relatively rare condition that primarily affects the lining of the colon, leading to a range of gastrointestinal symptoms. Understanding lymphocytic colitis is crucial for early diagnosis and effective management, as it can significantly impact a person's quality of life. This article aims to provide a comprehensive overview of lymphocytic colitis, including its definition, causes, symptoms, diagnosis, treatment options, complications, prevention strategies, and prognosis.

Definition

What is Lymphocytic Colitis?

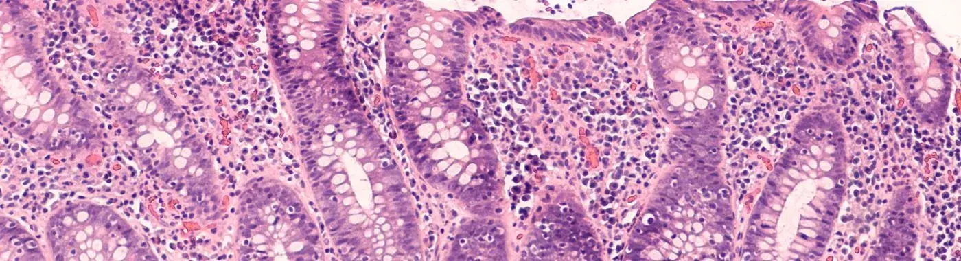
Lymphocytic colitis is a form of microscopic colitis, a condition that causes inflammation of the colon without visible lesions during standard endoscopic examinations. It is characterized by an increase in lymphocytes, a type of white blood cell, in the colon's mucosal layer. This condition leads to chronic, non-bloody diarrhea, abdominal pain, and other gastrointestinal symptoms. Unlike other forms of colitis, lymphocytic colitis does not typically result in significant weight loss or malnutrition, but it can still cause considerable discomfort and distress.

Causes and Risk Factors

Infectious/Environmental Causes

While the exact cause of lymphocytic colitis remains unclear, some studies suggest that infectious agents or environmental factors may play a role. Certain bacterial infections, such as those caused by Clostridium difficile, have been associated with the onset of colitis. Additionally, exposure to environmental toxins or chemicals may contribute to the development of this condition, although more research is needed to establish a definitive link.

Genetic/Autoimmune Causes

There is evidence to suggest that genetic predisposition and autoimmune factors may contribute to lymphocytic colitis. Individuals with a family history of autoimmune diseases, such as celiac disease or rheumatoid arthritis, may be at a higher risk. The immune system's abnormal response to the gut's microbiota could also trigger inflammation, leading to lymphocytic colitis.

Lifestyle and Dietary Factors

Dietary habits and lifestyle choices may influence the risk of developing lymphocytic colitis. Some studies have indicated that a diet high in fat and low in fiber may increase susceptibility to gastrointestinal disorders. Additionally, smoking and excessive alcohol consumption have been linked to various forms of colitis, including lymphocytic colitis. Stress and lack of physical activity may also exacerbate symptoms in individuals already diagnosed with the condition.

Key Risk Factors

  • Age: The condition is more commonly diagnosed in adults, particularly those over the age of 50.
  • Gender: Women are more likely to be affected than men.
  • Geographic Location: Lymphocytic colitis is more prevalent in certain regions, particularly in North America and Europe.
  • Underlying Conditions: Individuals with other autoimmune diseases, such as thyroid disorders or type 1 diabetes, may have an increased risk.

Symptoms

Common Symptoms of Lymphocytic Colitis

The primary symptom of lymphocytic colitis is chronic, non-bloody diarrhea, which may occur multiple times a day. Other common symptoms include:

  • Abdominal pain or cramping
  • Bloating and gas
  • Urgency to have a bowel movement
  • Fatigue
  • Weight loss (less common)

Warning Signs

While lymphocytic colitis is generally not life-threatening, certain symptoms may indicate a need for immediate medical attention. These include:

  • Severe abdominal pain
  • Blood in the stool
  • Signs of dehydration (e.g., excessive thirst, dry mouth, dizziness)
  • Persistent vomiting

Diagnosis

Clinical Evaluation

The diagnosis of lymphocytic colitis begins with a thorough clinical evaluation. Healthcare providers will take a detailed patient history, including symptoms, duration, and any relevant medical history. A physical examination may also be conducted to assess overall health and identify any abdominal tenderness.

Diagnostic Tests

Several diagnostic tests may be employed to confirm lymphocytic colitis:

  • Colonoscopy: This procedure allows doctors to visualize the colon and take biopsies for microscopic examination.
  • Biopsy: Tissue samples taken during a colonoscopy are examined under a microscope to check for an increased number of lymphocytes in the colon's mucosal layer.
  • Laboratory Tests: Blood tests may be conducted to rule out other conditions and assess overall health.
  • Imaging Studies: In some cases, imaging studies such as CT scans may be used to evaluate the colon and rule out other gastrointestinal disorders.

Differential Diagnosis

It is essential to differentiate lymphocytic colitis from other gastrointestinal conditions, such as:

  • Ulcerative colitis
  • Crohn's disease
  • Infectious colitis
  • Irritable bowel syndrome (IBS)

Treatment Options

Medical Treatments

The management of lymphocytic colitis typically involves medications aimed at reducing inflammation and controlling symptoms. Commonly prescribed treatments include:

  • Anti-inflammatory Medications: These may include mesalamine or budesonide, which help reduce inflammation in the colon.
  • Immunosuppressants: In more severe cases, medications that suppress the immune system may be prescribed.
  • Antidiarrheal Agents: Over-the-counter medications like loperamide can help manage diarrhea.

Non-Pharmacological Treatments

In addition to medications, lifestyle modifications and dietary changes can play a significant role in managing lymphocytic colitis. Recommendations may include:

  • Dietary Adjustments: A low-fat, high-fiber diet may help alleviate symptoms. Keeping a food diary can help identify trigger foods.
  • Hydration: Staying well-hydrated is crucial, especially for those experiencing diarrhea.
  • Stress Management: Techniques such as yoga, meditation, and regular exercise can help reduce stress and improve overall well-being.

Special Considerations

Treatment approaches may vary for different populations, such as pediatric or geriatric patients. Pediatric patients may require careful monitoring and tailored treatment plans, while older adults may have additional health considerations that influence medication choices.

Complications

Potential Complications

If left untreated or poorly managed, lymphocytic colitis can lead to several complications, including:

  • Dehydration: Chronic diarrhea can result in significant fluid loss, leading to dehydration.
  • Nutritional Deficiencies: Although lymphocytic colitis does not typically cause malabsorption, chronic diarrhea can lead to deficiencies in essential nutrients.
  • Increased Risk of Other Autoimmune Diseases: Individuals with lymphocytic colitis may be at a higher risk of developing other autoimmune conditions.

Short-Term and Long-Term Complications

Short-term complications primarily involve dehydration and electrolyte imbalances, while long-term complications may include chronic gastrointestinal symptoms and the potential development of other autoimmune disorders.

Prevention

Strategies for Prevention

While there is no guaranteed way to prevent lymphocytic colitis, certain strategies may help reduce the risk of its development:

  • Vaccinations: Staying up-to-date with vaccinations can help prevent infections that may trigger colitis.
  • Hygiene Practices: Good hygiene, including regular handwashing, can reduce the risk of gastrointestinal infections.
  • Dietary Modifications: A balanced diet rich in fruits, vegetables, and whole grains may support gut health.
  • Lifestyle Changes: Avoiding smoking and limiting alcohol consumption can contribute to overall gastrointestinal health.

Prognosis & Long-Term Outlook

Typical Course of the Disease

The prognosis for individuals with lymphocytic colitis is generally favorable. Many patients experience periods of remission, with symptoms improving significantly or disappearing altogether. However, some individuals may have chronic symptoms that require ongoing management.

Factors Influencing Prognosis

Several factors can influence the overall prognosis, including:

  • Early Diagnosis: Prompt identification and treatment of lymphocytic colitis can lead to better outcomes.
  • Treatment Adherence: Following prescribed treatment plans and making necessary lifestyle changes can improve symptom management and quality of life.

Frequently Asked Questions (FAQs)

  1. What are the main symptoms of lymphocytic colitis?

    The primary symptom of lymphocytic colitis is chronic, non-bloody diarrhea, which may occur several times a day. Other symptoms can include abdominal pain, bloating, urgency to have a bowel movement, and fatigue. If you experience severe abdominal pain or blood in your stool, seek medical attention immediately.

  2. How is lymphocytic colitis diagnosed?

    Diagnosis typically involves a thorough clinical evaluation, including a detailed patient history and physical examination. A colonoscopy with biopsy is the gold standard for diagnosis, allowing doctors to visualize the colon and assess the number of lymphocytes in the mucosal layer.

  3. What treatments are available for lymphocytic colitis?

    Treatment options include anti-inflammatory medications, immunosuppressants, and antidiarrheal agents. Lifestyle modifications, such as dietary changes and stress management, can also play a significant role in symptom management.

  4. Can lymphocytic colitis lead to complications?

    Yes, if left untreated, lymphocytic colitis can lead to complications such as dehydration, nutritional deficiencies, and an increased risk of developing other autoimmune diseases. It is essential to manage symptoms effectively to prevent these complications.

  5. Is lymphocytic colitis a chronic condition?

    Lymphocytic colitis can be a chronic condition, with many patients experiencing periods of remission and flare-ups. Ongoing management and adherence to treatment plans can help control symptoms and improve quality of life.

  6. Are there any dietary recommendations for managing lymphocytic colitis?

    A low-fat, high-fiber diet is often recommended for individuals with lymphocytic colitis. Keeping a food diary can help identify trigger foods that may exacerbate symptoms. Staying well-hydrated is also crucial.

  7. How does lymphocytic colitis differ from other forms of colitis?

    Lymphocytic colitis is a type of microscopic colitis characterized by an increase in lymphocytes in the colon's mucosal layer. Unlike ulcerative colitis or Crohn's disease, it does not typically cause visible lesions or significant weight loss.

  8. When should I see a doctor for lymphocytic colitis?

    You should seek medical attention if you experience severe abdominal pain, blood in your stool, signs of dehydration, or persistent vomiting. These symptoms may indicate a more serious condition that requires immediate evaluation.

  9. Can lifestyle changes help manage lymphocytic colitis?

    Yes, lifestyle changes such as dietary modifications, stress management, and regular exercise can significantly help manage symptoms of lymphocytic colitis. Avoiding smoking and limiting alcohol consumption are also beneficial.

  10. What is the long-term outlook for individuals with lymphocytic colitis?

    The long-term outlook for individuals with lymphocytic colitis is generally positive. Many patients experience periods of remission, and with appropriate management, symptoms can be controlled effectively. Early diagnosis and adherence to treatment plans are key factors in achieving a favorable prognosis.

When to See a Doctor

It is essential to seek medical attention if you experience any of the following serious symptoms:

  • Severe abdominal pain
  • Blood in the stool
  • Signs of dehydration (e.g., excessive thirst, dry mouth, dizziness)
  • Persistent vomiting
  • Unexplained weight loss

Conclusion & Disclaimer

Lymphocytic colitis is a manageable condition that can significantly impact an individual's quality of life. Understanding its causes, symptoms, diagnosis, and treatment options is crucial for effective management. If you suspect you may have lymphocytic colitis or are experiencing gastrointestinal symptoms, consult a healthcare professional for a thorough evaluation and personalized treatment plan.

Disclaimer: This article is for informational purposes only and does not replace professional medical advice. Always consult a healthcare provider for diagnosis and treatment options tailored to your individual needs.

image image
Request a Callback
Request A Call Back
Request Type
Image
Doctor
Book Appointment
Appointments
View Book Appointment
Image
Hospitals
Find Hospital
Hospitals
View Find Hospital
Chat
Image
health-checkup
Book Health Checkup
Health Checks
View Book Health Checkup
Image
phone
Call Us
Call Us
View Call Us
Image
Doctor
Book Appointment
Appointments
View Book Appointment
Image
Hospitals
Find Hospital
Hospitals
View Find Hospital
Image
health-checkup
Book Health Checkup
Health Checks
View Book Health Checkup
Image
phone
Call Us
Call Us
View Call Us