1066

Renal Cell Cancer - Early Signs, Risk Factors, Diagnosis, and Treatment Explained

Renal cell cancer is the most common type of kidney cancer in adults, developing in the tiny filtering units of the kidney. Because its early symptoms are often subtle or mistaken for other conditions, it may go unnoticed until later stages. This guide offers clear and trustworthy information about renal cell cancer—its symptoms, how it is diagnosed, treatment options, and what patients and families can expect. With patient-friendly language and practical insights, our goal is to help you feel informed, supported, and confident as you navigate this condition.

What Is Renal Cell Cancer?

Renal cell cancer (RCC), also known as renal cell carcinoma, is the most common type of kidney cancer in adults. It is a cancer that starts in the lining of the small tubes (tubules) inside the kidneys. The kidneys are two bean-shaped organs that filter waste and excess water from the blood, producing urine. In RCC, the cells lining these tubules become cancerous, multiply uncontrollably, and form a tumor.

Because the kidneys are located deep inside the abdomen, a tumor can grow quite large before a person experiences any symptoms. This is a key reason why many cases of RCC are now found by chance during imaging scans (like a CT scan or ultrasound) for an unrelated condition. When RCC is found early, it can be highly treatable with surgery. Advances in medicine, especially with targeted therapies and immunotherapy, have also dramatically improved the prognosis for patients with more advanced disease.

Types of Renal Cell Cancer

RCC is not a single disease. It is a diverse group of cancers that are classified based on the appearance of the cancer cells under a microscope. The main subtypes include:

  • Clear Cell Renal Cell Carcinoma (ccRCC): This is by far the most common type of RCC, accounting for about 70-80% of all cases. When viewed under a microscope, the cells look very pale or "clear," like soap bubbles. This is the most studied type of kidney cancer, and most of the new targeted therapies were developed to treat it.
  • Papillary Renal Cell Carcinoma (pRCC): This type makes up about 10-15% of all RCC cases. When viewed under a microscope, the cells have small, finger-like projections called papillae. There are two main types of papillary RCC (Type 1 and Type 2), with Type 2 being generally more aggressive.
  • Chromophobe Renal Cell Carcinoma: This type makes up about 5% of all RCC cases. It is often less aggressive than other types and has a better prognosis.
  • Other Rare Types: There are other, very rare types of RCC, such as collecting duct carcinoma and medullary carcinoma, which tend to be more aggressive and are often found in younger adults.

The specific type of RCC is a crucial factor in guiding the treatment plan, which is why a precise diagnosis is so important.

What Are the Causes and Risk Factors for Renal Cell Cancer?

The exact cause of most cases of renal cell cancer is unknown. However, researchers have identified several factors that can increase a person's risk.

Key Risk Factors:

1. Smoking: This is the single biggest risk factor for RCC. The risk of developing RCC increases with the number of years and cigarettes smoked.

2. Obesity: People who are overweight or obese have a higher risk of RCC. This may be due to changes in certain hormones that can lead to cancer.

3. High Blood Pressure: Having high blood pressure (hypertension) is a known risk factor for RCC.

4. Workplace Exposure: Long-term exposure to certain chemicals in the workplace, such as trichloroethylene, cadmium, or asbestos, can increase the risk of RCC.

5. Gender: RCC is about twice as common in men as it is in women.

6. Chronic Kidney Disease: People who have advanced kidney disease, especially those on long-term dialysis, have a higher risk of developing RCC.

7. Genetics and Inherited Syndromes: A small number of people are born with certain rare inherited genetic conditions that increase their risk of RCC. These include:

  • Von Hippel-Lindau disease: This condition is a major risk factor for developing multiple clear cell RCCs in both kidneys.
  • Hereditary Papillary Renal Cell Carcinoma: This condition is a major risk factor for developing multiple papillary RCCs.

It is important to remember that having a risk factor does not mean you will get RCC. Many people with these risk factors never develop the disease, and many people with RCC have no known risk factors.

What Are the Symptoms of Renal Cell Cancer?

In its earliest stages, renal cell cancer often does not cause any symptoms. This is why many tumors are found by chance. When symptoms do appear, they can be vague and are often a sign of a larger or more advanced tumor.

Common Early Signs:

  • Blood in the Urine (Hematuria): This is the most common symptom of RCC. The urine may appear pink, red, or dark brown. In many cases, the blood is microscopic and can only be detected with a lab test.
  • A Lump on the Side or Lower Back: A noticeable lump or swelling may appear on one side of the lower back or in the abdomen.
  • Pain in the Side or Lower Back: A dull, persistent pain in the side or lower back that does not go away.

Advanced Symptoms:

As the cancer progresses, other symptoms may appear:

  • Unexplained Weight Loss: Losing weight without trying.
  • Unexplained Fever: A persistent, unexplained fever that comes and goes.
  • Extreme Fatigue: Feeling unusually tired or a general lack of energy.
  • Anemia: A low red blood cell count, which can also cause fatigue and weakness.
  • Leg Swelling or Bone Pain: If the cancer has spread to other parts of the body.

If you have any of these persistent symptoms, especially blood in the urine, it is crucial to see a doctor for a proper evaluation. Early diagnosis is the key to a better outcome.

How Is Renal Cell Cancer Diagnosed?

Diagnosing renal cell cancer requires a series of tests to confirm the presence of a tumor, determine its type and location, and see if it has spread. The process often begins when a doctor notices a suspicious symptom or an abnormality on an imaging scan.

Diagnostic Steps and Tests:

1. Physical Exam and Medical History: Your doctor will ask about your symptoms and risk factors. They will also perform a physical exam to check for a lump in your abdomen.

2. Blood and Urine Tests: A urine test is performed to check for blood. Blood tests are used to assess your overall health and kidney function.

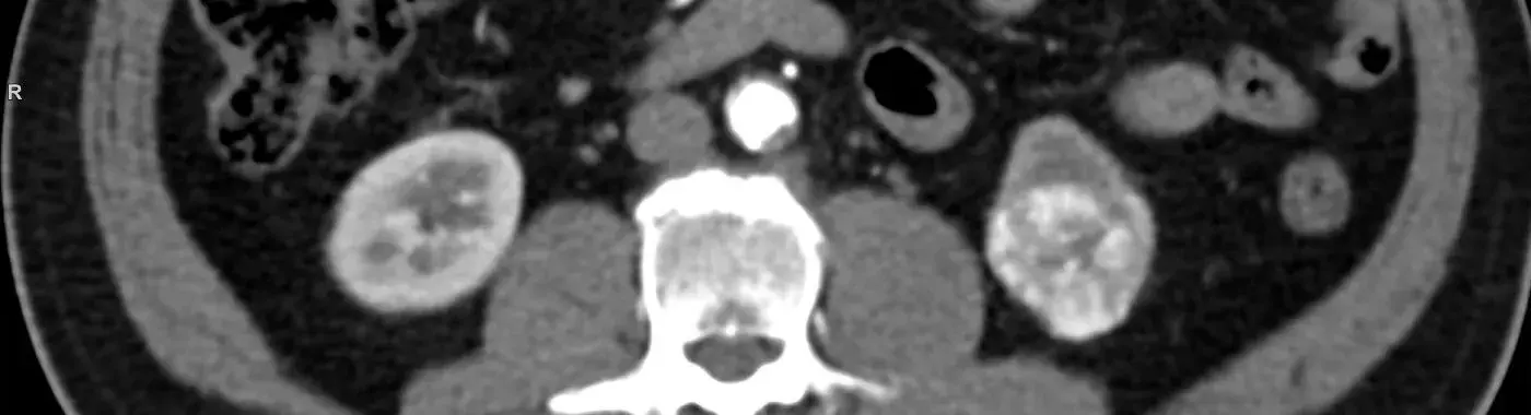
3. Imaging Scans: Imaging scans are the most important tool for finding a kidney tumor.

  • Ultrasound: A non-invasive scan that can be used to see a mass in the kidney. It can help doctors determine if the mass is a fluid-filled cyst (usually benign) or a solid tumor (more likely to be cancerous).
  • CT (Computed Tomography) Scan: A CT scan provides detailed, cross-sectional images of the abdomen and chest. It can help doctors see the exact size of the tumor, whether it has spread to nearby structures, and whether it has spread to the lungs.
  • MRI (Magnetic Resonance Imaging) Scan: An MRI may be used to get an even more detailed look at the tumor and its relationship to major blood vessels.

4. Biopsy: In many cases, a biopsy is not needed to diagnose RCC before surgery. Imaging scans can often provide enough information for a surgeon to proceed with surgery. However, a biopsy may be performed if the diagnosis is unclear or if a doctor needs to know the specific type of cancer to plan a non-surgical treatment.

Staging and Grading of Renal Cell Cancer

The staging of renal cell cancer is a key factor in determining the treatment plan and predicting a patient's prognosis. The stage describes how far the cancer has spread. Doctors also "grade" the cancer based on how aggressive the cells look under a microscope.

Grading: The grade is based on the appearance of the cancer cells under a microscope.

  • Grade 1: The cancer cells look very similar to normal, healthy kidney cells. They tend to grow slowly.
  • Grade 4: The cancer cells look very different from normal kidney cells. They are rapidly dividing and are more likely to grow and spread.

Staging: The most common staging system is a four-stage system.

  • Stage I: The tumor is small (no more than 7 cm) and is contained within the kidney.
  • Stage II: The tumor is larger than 7 cm but is still contained within the kidney.
  • Stage III: The tumor has spread to nearby lymph nodes, or it has grown into a major vein or the fatty tissue around the kidney.
  • Stage IV: The cancer has spread to distant parts of the body, such as the lungs, bones, or liver.

What Are the Treatment Options for Renal Cell Cancer?

The treatment plan for RCC is highly personalized and depends on the stage, the tumor's specific type, and the patient's overall health. A multidisciplinary team of specialists, including a urologist or a surgical oncologist, a medical oncologist, and a radiation oncologist, will work together to create a comprehensive treatment plan.

1. Surgery

Surgery is the primary treatment for most RCCs, especially in the early stages. The goal is to remove the tumor.

  • Partial Nephrectomy (Kidney-Sparing Surgery): For small tumors, a surgeon may be able to remove only the tumor while saving the rest of the kidney. This is often the preferred surgery to preserve kidney function.
  • Radical Nephrectomy: For larger tumors, a surgeon may need to remove the entire kidney and any surrounding tissue, such as the adrenal gland and nearby lymph nodes.
  • Minimally Invasive Surgery: Many of these surgeries can be done with laparoscopic or robotic-assisted techniques, which use small incisions and can lead to a faster recovery time.

2. Medical Treatment (Targeted Therapy and Immunotherapy)

  • Targeted Therapy: These drugs are now the standard of care for advanced or metastatic RCC. They are designed to target specific proteins that help the cancer cells grow and survive.
  • Immunotherapy: Immunotherapy has revolutionized the treatment of RCC. These drugs, such as checkpoint inhibitors, help a patient's own immune system recognize and attack cancer cells. Immunotherapy is often used in combination with targeted therapy or another immunotherapy drug.

3. Radiation Therapy

Radiation therapy uses high-energy rays to kill cancer cells. RCC is generally resistant to traditional radiation. However, it may be used in specific cases:

  • To relieve pain or other symptoms if the cancer has spread to the bones or brain.
  • To treat a patient who is not healthy enough for surgery.

4. Ablation Therapies

For very small tumors, doctors may use a procedure to destroy the cancer cells without surgery.

  • Cryoablation: An instrument is used to freeze and destroy the cancer cells.
  • Radiofrequency Ablation: An electrical current is used to heat and destroy the cancer cells.

Prognosis and Survival Rates for Renal Cell Cancer

The prognosis (the likely outcome of the disease) for renal cell cancer has improved dramatically in recent decades. The outlook depends on the tumor's stage and histology.

Prognostic Factors: The most important factors affecting prognosis are the stage of the cancer at diagnosis, the tumor's specific type, and the patient's age and overall health.

Survival Rates: The overall 5-year survival rate for RCC has been steadily improving.

  • Localized: The 5-year survival rate is around 93%.
  • Regional: The 5-year survival rate is around 75%.
  • Distant (Metastatic): The 5-year survival rate is around 18%, but with new treatments, the prognosis is improving.

It is important to discuss your specific prognosis with your oncology team, as they can provide a more accurate picture based on the unique characteristics of the tumor.

Screening and Prevention of Renal Cell Cancer

There are no routine screening tests for RCC in the general population. The best way to reduce your risk is to avoid known risk factors and be aware of the symptoms.

Prevention Strategies:

  • Quit Smoking: The single most important way to reduce your risk of RCC is to quit smoking.
  • Maintain a Healthy Weight: Losing weight if you are overweight or obese can help reduce your risk.
  • Control High Blood Pressure: Work with your doctor to manage your high blood pressure.
  • Avoid Environmental Exposures: If your profession involves exposure to certain chemicals, use proper protective equipment.

For International Patients: Your Seamless Journey to Apollo Hospitals

Apollo Hospitals is a leading medical destination for international patients seeking high-quality and affordable cancer care. Our dedicated International Patient Services team is here to ensure your entire experience is as smooth and comfortable as possible. We have extensive experience treating patients with complex conditions, including renal cell cancer.

Our Services for International Patients Include:

  • Travel and Visa Assistance: We will provide you with a visa invitation letter and help with travel arrangements.
  • Airport Transfers: We will arrange for a car to pick you up from the airport.
  • Personalized Care: A dedicated patient coordinator will be your single point of contact, assisting with hospital admission, language interpretation, and any other needs you may have.
  • Accommodation: We can assist you with booking suitable accommodation for you and your family near the hospital.
  • Post-Treatment Follow-up: We will stay in touch with you after your return home to ensure a smooth recovery.

Frequently Asked Questions (FAQs) About Renal Cell Cancer

Q1: Is Renal Cell Cancer curable?

A: Yes, renal cell cancer is curable. When the cancer is found before it has spread outside the kidney, surgery alone can often lead to a cure. Even for more advanced cases, a combination of targeted therapy and immunotherapy is helping people live longer, healthier lives.

Q2: What is the survival rate for Renal Cell Cancer?

A: The survival rate varies significantly by the stage. The 5-year survival rate for localized disease is around 93%. For metastatic disease, the prognosis is not as good, but with new treatments, the prognosis is improving. Your doctor can provide a more accurate prognosis based on your specific case.

Q3: What are the side effects of Renal Cell Cancer treatment?

A: Side effects vary with the type of treatment. Surgery can cause pain and a long recovery time. Targeted therapy and immunotherapy can cause a range of side effects, including fatigue, a rash, and nausea. Your medical team will work closely with you to manage these side effects.

Q4: Can Renal Cell Cancer come back (recurrence)?

A: Yes, there is a risk of recurrence, especially for larger or more aggressive tumors. This is why regular follow-up appointments and monitoring are crucial for early detection of any relapse.

Q5: What is the typical recovery time after surgery for Renal Cell Cancer?

A: The recovery time depends on the complexity of the surgery. For a minimally invasive partial nephrectomy, recovery may take a few weeks. For a radical nephrectomy, a full recovery can take a few months. Your surgeon will provide a detailed recovery plan.

Q6: Can a person live a normal life with one kidney?

A: Yes. The human body is designed to function with only one kidney. The remaining kidney will often grow larger and take on the work of both kidneys.

Q7: What is the difference between renal cell cancer and other kidney cancers?

A: Renal cell cancer starts in the filtering tubules of the kidney and is the most common type of adult kidney cancer. Other kidney cancers, like Wilms tumor, are pediatric cancers, and transitional cell carcinoma starts in the lining of the kidney's collecting ducts. They have different treatments and prognoses.

Q8: Why are most renal cell cancers found by chance?

A: Because the kidneys are located deep in the abdomen, a tumor can grow quite large before it causes any symptoms. As a result, many tumors are found during imaging scans for unrelated conditions.

Q9: Is there any way to prevent renal cell cancer?

A: The best way to prevent RCC is to quit smoking, maintain a healthy weight, and control your blood pressure.

Q10: Does Apollo Hospitals offer Proton Therapy for Kidney Cancer?

A: Proton therapy is mainly used for cancers near sensitive organs (like brain or pediatric tumors). For most kidney cancers, surgery, targeted therapy, and immunotherapy are standard. However, if your doctors believe proton therapy could help protect nearby vital structures, Apollo Hospitals can provide it.

Meet Our Doctors

view more
Dr. Harsha Goutham H V - Best Dietitian
Dr Debmalya Bhattacharyya
Oncology
9+ years experience
Apollo Hospitals, Kolkata
view more
dr-shweta-m-radiation-oncologist-in-pune
Dr Shweta Mutha
Oncology
9+ years experience
Apollo Hospitals, Pune
view more
Dr. S K Pal - Best Urologist
Dr Rahul Agarwal
Oncology
9+ years experience
Apollo Sage Hospitals
view more
Dr. Natarajan V - Best Radiation Oncologist
Dr Natarajan V
Oncology
9+ years experience
Apollo Hospitals, Bannerghatta Road
view more
dr-poonam-maurya-medical-oncologist-bangalore
Dr Poonam Maurya
Oncology
9+ years experience
Apollo Hospitals, Bannerghatta Road
view more
Dr. Rushit Shah - Best Medical Oncologist
Dr Rushit Shah
Oncology
9+ years experience
Apollo Hospitals International Ltd, Ahmedabad
view more
Dr. Sujith Kumar Mullapally - Best Medical Oncologist
Dr Sujith Kumar Mullapally
Oncology
9+ years experience
Apollo Proton Cancer Centre, Chennai
view more
Dr VR N Vijay Kumar
Dr V R N Vijay Kumar
Oncology
9+ years experience
Apollo Hospitals International Ltd, Ahmedabad
view more
Dr. Priyanka Chauhan - Best Haemato Oncologist and BMT Surgeon
Dr Priyanka Chauhan
Oncology
9+ years experience
Apollo Hospitals Lucknow
view more
Dr Anshul Gupta
Oncology
9+ years experience
Apollo Hospitals Noida

Could not find what you are looking for? 

Request a Callback

Image
Image
Request A Call Back
Request Type
Image
Doctor
Book Appointment
Book Appt.
View Book Appointment
Image
Hospitals
Find Hospital
Hospitals
View Find Hospital
Image
health-checkup
Book Health Checkup
Health Checkup
View Book Health Checkup
Image
Doctor
Book Appointment
Book Appt.
View Book Appointment
Image
Hospitals
Find Hospital
Hospitals
View Find Hospital
Image
health-checkup
Book Health Checkup
Health Checkup
View Book Health Checkup